Jenis Jerawat di Hidung: Kenali dan Atasi

Jenis Jerawat di Hidung: Kenali dan Atasi - Hello friend INFOPEDIA, In the article that you read this time with the title Jenis Jerawat di Hidung: Kenali dan Atasi, we have prepared this article well for you to read and take information in it. hopefully the post content Article Atasi, Article Hidung, Article Jenis, Article Jerawat, Article Kenali, what we write can make you understand.Happy reading.

Title : Jenis Jerawat di Hidung: Kenali dan Atasi
Link : Jenis Jerawat di Hidung: Kenali dan Atasi

Related Links


Jenis Jerawat di Hidung: Kenali dan Atasi

jenis jerawat di hidung

Jerawat di Hidung? Ini Jenis - Jenisnya dan Cara Mengatasinya

Jerawat di hidung seringkali menjadi masalah yang mengganggu penampilan dan kepercayaan diri. Selain itu, jerawat di hidung juga dapat menimbulkan rasa sakit dan ketidaknyamanan.

Jenis - Jenis Jerawat di Hidung

Ada beberapa jenis jerawat yang dapat muncul di hidung, di antaranya:

  1. Jerawat Kepala Hitam (Blackheads)

Jerawat kepala hitam terjadi ketika pori - pori tersumbat oleh minyak, sel kulit mati, dan bakteri. Jerawat ini memiliki penampilan seperti bintik - bintik hitam kecil pada permukaan kulit.

  1. Jerawat Kepala Putih (Whiteheads)

Jerawat kepala putih terjadi ketika pori - pori tersumbat oleh minyak dan sel kulit mati. Jerawat ini memiliki penampilan seperti benjolan kecil berwarna putih pada permukaan kulit.

  1. Jerawat Papula (Papules)

Jerawat papula terjadi ketika bakteri menginfeksi pori - pori yang tersumbat. Jerawat ini memiliki penampilan seperti benjolan kecil berwarna merah atau merah muda pada permukaan kulit.

  1. Jerawat Pustula (Pustules)

Jerawat pustula terjadi ketika kantong nanah terbentuk di dalam pori - pori yang tersumbat. Jerawat ini memiliki penampilan seperti benjolan kecil berwarna putih atau kuning pada permukaan kulit.

  1. Jerawat Nodul (Nodules)

Jerawat nodul terjadi ketika jerawat papula atau pustula membesar dan meradang. Jerawat ini memiliki penampilan seperti benjolan besar, keras, dan berwarna merah atau ungu pada permukaan kulit.

  1. Jerawat Kistik (Cysts)

Jerawat kistik terjadi ketika nodul membesar dan bernanah. Jerawat ini memiliki penampilan seperti benjolan besar, lunak, dan berwarna merah atau ungu pada permukaan kulit.

Cara Mengatasi Jerawat di Hidung

Ada beberapa cara untuk mengatasi jerawat di hidung, di antaranya:

  1. Mencuci Wajah Secara Teratur

Mencuci wajah secara teratur dapat membantu membersihkan minyak, sel kulit mati, dan bakteri dari permukaan kulit. Gunakan pembersih wajah yang lembut dan bebas sabun.

  1. Menggunakan Obat Jerawat

Obat jerawat yang mengandung asam salisilat, benzoil peroksida, atau retinoid dapat membantu membunuh bakteri dan mengurangi peradangan. Gunakan obat jerawat sesuai petunjuk yang tertera pada kemasan.

  1. Menggunakan Masker Wajah

Masker wajah yang mengandung bahan - bahan seperti tanah liat, belerang, atau asam salisilat dapat membantu menyerap minyak dan membersihkan pori - pori yang tersumbat. Gunakan masker wajah 1 - 2 kali seminggu.

  1. Mengompres dengan Air Hangat

Mengompres jerawat dengan air hangat dapat membantu mengurangi peradangan dan nyeri. Rendam kain bersih dalam air hangat dan kompreskan pada jerawat selama 10 - 15 menit.

  1. Menjaga Pola Makan

Mengonsumsi makanan yang sehat dan seimbang dapat membantu menjaga kesehatan kulit. Makanan yang kaya akan vitamin A, vitamin C, dan seng baik untuk kesehatan kulit.

  1. Hindari Stres

Stres dapat memperburuk jerawat. Kelola stres dengan baik melalui olahraga, meditasi, atau yoga.

Jenis Jerawat di Hidung dan Cara Mengatasinya

Hidung merupakan salah satu bagian wajah yang paling menonjol dan sering menjadi perhatian orang lain. Karena itu, munculnya jerawat di hidung dapat sangat mengganggu penampilan dan membuat seseorang merasa tidak percaya diri.

Jerawat di hidung dapat disebabkan oleh berbagai faktor, mulai dari kebersihan kulit yang buruk, produksi minyak berlebih, hingga ketidakseimbangan hormon. Jenis jerawat yang muncul di hidung juga beragam, tergantung pada tingkat keparahan dan penyebabnya.

Berikut ini adalah beberapa jenis jerawat di hidung yang paling umum terjadi:

1. Komedo Putih

Komedo putih atau whiteheads adalah jenis jerawat yang paling ringan dan tidak meradang. Komedo putih terbentuk ketika pori-pori kulit tersumbat oleh minyak dan sel kulit mati. Komedo putih biasanya muncul dalam bentuk bintik-bintik kecil berwarna putih atau kekuningan.

[Image HTML goes here]

Komedo Putih

2. Komedo Hitam

Komedo hitam atau blackheads adalah jenis jerawat yang lebih parah daripada komedo putih. Komedo hitam terbentuk ketika komedo putih terpapar udara dan mengalami oksidasi. Komedo hitam biasanya muncul dalam bentuk bintik-bintik kecil berwarna hitam atau coklat tua.

[Image HTML goes here]

Komedo Hitam

3. Papula

Papula adalah jenis jerawat yang berbentuk benjolan kecil berwarna merah atau merah muda. Papula biasanya muncul ketika bakteri dan minyak terperangkap di dalam pori-pori kulit. Papula dapat terasa nyeri saat disentuh.

[Image HTML goes here]

Papula

4. Pustula

Pustula adalah jenis jerawat yang lebih parah daripada papula. Pustula terbentuk ketika papula terinfeksi bakteri. Pustula biasanya muncul dalam bentuk benjolan kecil berwarna kuning atau putih yang berisi nanah. Pustula dapat terasa nyeri dan menyebabkan kulit di sekitarnya menjadi kemerahan.

[Image HTML goes here]

Pustula

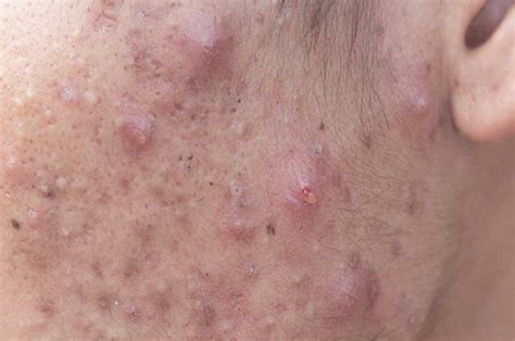
5. Jerawat Batu

Jerawat batu atau nodul adalah jenis jerawat yang paling parah. Jerawat batu terbentuk ketika bakteri dan minyak terperangkap jauh di dalam kulit. Jerawat batu biasanya muncul dalam bentuk benjolan besar berwarna merah atau ungu yang terasa nyeri saat disentuh. Jerawat batu dapat menyebabkan jaringan parut permanen.

[Image HTML goes here]

Jerawat Batu

Cara Mengatasi Jerawat di Hidung

Untuk mengatasi jerawat di hidung, Anda dapat melakukan beberapa hal berikut ini:

  • Bersihkan wajah secara teratur dengan sabun pembersih yang lembut.
  • Gunakan scrub wajah yang lembut untuk mengangkat sel kulit mati dan kotoran dari kulit.
  • Gunakan pelembab yang sesuai dengan jenis kulit Anda untuk menjaga kulit tetap terhidrasi.
  • Hindari memencet atau memecahkan jerawat karena dapat memperburuk kondisi jerawat dan menyebabkan jaringan parut.
  • Konsumsi makanan yang sehat dan bergizi untuk menjaga kesehatan kulit.
  • Hindari stres karena stres dapat memicu munculnya jerawat.
  • Jika jerawat di hidung Anda tidak kunjung membaik setelah beberapa minggu, sebaiknya konsultasikan dengan dokter kulit untuk mendapatkan penanganan yang tepat.

FAQ

  1. Apa penyebab jerawat di hidung?

Jerawat di hidung dapat disebabkan oleh berbagai faktor, mulai dari kebersihan kulit yang buruk, produksi minyak berlebih, hingga ketidakseimbangan hormon.

  1. Apa saja jenis jerawat di hidung yang paling umum terjadi?

Jenis jerawat di hidung yang paling umum terjadi adalah komedo putih, komedo hitam, papula, pustula, dan jerawat batu.

  1. Bagaimana cara mengatasi jerawat di hidung?

Untuk mengatasi jerawat di hidung, Anda dapat melakukan beberapa hal berikut ini: membersihkan wajah secara teratur, menggunakan scrub wajah yang lembut, menggunakan pelembab yang sesuai dengan jenis kulit Anda, menghindari memencet atau memecahkan jerawat, mengonsumsi makanan yang sehat dan bergizi, menghindari stres, dan berkonsultasi dengan dokter kulit jika jerawat tidak kunjung membaik.

  1. Apa yang harus dilakukan jika jerawat di hidung tidak kunjung membaik?

Jika jerawat di hidung Anda tidak kunjung membaik setelah beberapa minggu, sebaiknya konsultasikan dengan dokter kulit untuk mendapatkan penanganan yang tepat.

  1. Apakah jerawat di hidung dapat dicegah?

Jerawat di hidung dapat dicegah dengan menjaga kebersihan kulit, menggunakan produk perawatan kulit yang tepat, dan menghindari faktor-faktor yang dapat memicu munculnya jerawat, seperti stres dan pola makan yang tidak sehat.

.


Thus this article Jenis Jerawat di Hidung: Kenali dan Atasi

That's all article Jenis Jerawat di Hidung: Kenali dan Atasi this time, hopefully it can benefit you all. See you in another article post.

You are now reading the article Jenis Jerawat di Hidung: Kenali dan Atasi with the link address https://wadidaow.blogspot.com/2024/02/jenis-jerawat-di-hidung-kenali-dan-atasi.html