Jerawat Batu: Kenali Gejala, Penyebab, dan Cara Mengatasinya

Jerawat Batu: Kenali Gejala, Penyebab, dan Cara Mengatasinya - Hello friend INFOPEDIA, In the article that you read this time with the title Jerawat Batu: Kenali Gejala, Penyebab, dan Cara Mengatasinya, we have prepared this article well for you to read and take information in it. hopefully the post content Article Batu, Article Cara, Article Gejala, Article Jerawat, Article Kenali, Article Mengatasinya, Article Penyebab, what we write can make you understand.Happy reading.

Title : Jerawat Batu: Kenali Gejala, Penyebab, dan Cara Mengatasinya
Link : Jerawat Batu: Kenali Gejala, Penyebab, dan Cara Mengatasinya

Related Links


Jerawat Batu: Kenali Gejala, Penyebab, dan Cara Mengatasinya

jerawat batu itu seperti apa

Jerawat Batu: Mengenali dan Mengatasinya

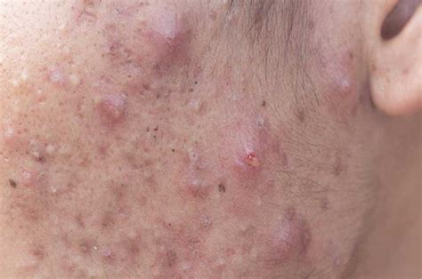
Jerawat batu atau yang dikenal juga dengan sebutan jerawat nodul dan kista, merupakan jenis jerawat yang paling parah dan dapat menyebabkan rasa sakit yang luar biasa dan menimbulkan bekas luka permanen. Jerawat jenis ini dapat terjadi pada siapa saja, baik pria maupun wanita, namun lebih sering terjadi pada remaja dan dewasa muda.

Jerawat batu terbentuk ketika sebum, bakteri, dan sel-sel kulit mati menyumbat pori-pori dan menyebabkan peradangan. Peradangan ini dapat menyebabkan munculnya benjolan merah dan bengkak yang berisi nanah atau darah. Benjolan ini dapat tumbuh hingga berukuran besar dan sangat menyakitkan.

Jerawat batu dapat disebabkan oleh berbagai faktor, termasuk perubahan hormon, stres, penggunaan kosmetik yang tidak tepat, dan kurangnya kebersihan kulit. Untuk mengatasi jerawat batu, diperlukan perawatan yang tepat dan konsisten. Perawatan yang diberikan bertujuan untuk mengurangi peradangan, membunuh bakteri, dan mencegah terbentuknya bekas luka.

Perawatan jerawat batu dapat berupa penggunaan obat-obatan topikal, obat minum, atau kombinasi keduanya. Obat-obatan topikal yang umum digunakan untuk mengatasi jerawat batu adalah retinoid, benzoil peroksida, dan asam salisilat. Sedangkan obat minum yang sering diberikan adalah antibiotik dan isotretinoin.

Jerawat Batu: Mengenal Lebih Dekat Jerawat Paling Menyebalkan

Jerawat batu adalah salah satu jenis jerawat yang paling parah dan sulit diobati. Jerawat ini ditandai dengan benjolan besar, merah, dan nyeri yang dapat muncul di wajah, punggung, dada, atau bahu. Jerawat batu dapat menyebabkan jaringan parut permanen jika tidak diobati dengan benar.

Jenis-Jenis Jerawat Batu

1. Papula

Papula adalah benjolan kecil, padat, dan berwarna merah muda atau putih. Papula sering muncul dalam kelompok dan dapat terasa gatal atau nyeri.

2. Pustula

Pustula adalah benjolan kecil yang berisi nanah. Pustula sering muncul di bagian tengah papula dan dapat pecah atau mengeluarkan nanah.

3. Nodul

Nodul adalah benjolan besar, padat, dan nyeri yang dapat mencapai diameter 5 sentimeter. Nodul sering muncul di bagian dalam kulit dan dapat menyebabkan jaringan parut permanen.

4. Kista

Kista adalah benjolan besar yang berisi cairan atau nanah. Kista dapat muncul di bagian dalam atau luar kulit dan dapat menyebabkan jaringan parut permanen.

Penyebab Jerawat Batu

Jerawat batu disebabkan oleh berbagai faktor, termasuk:

1. Perubahan Hormon

Perubahan hormon selama pubertas, menstruasi, dan kehamilan dapat memicu munculnya jerawat batu.

2. Genetika

Orang yang memiliki riwayat keluarga jerawat batu memiliki risiko lebih tinggi untuk mengembangkan kondisi ini.

3. Stres

Stres dapat memperburuk jerawat batu.

4. Makanan

Makanan tertentu, seperti makanan yang tinggi gula dan lemak, dapat memicu munculnya jerawat batu.

5. Obat-obatan

Obat-obatan tertentu, seperti kortikosteroid dan lithium, dapat memicu munculnya jerawat batu.

Gejala Jerawat Batu

Gejala jerawat batu meliputi:

1. Benjolan besar, merah, dan nyeri di wajah, punggung, dada, atau bahu

2. Kulit berminyak

3. Komedo hitam atau putih

4. Kulit kemerahan atau bengkak

5. Gatal atau nyeri

Pengobatan Jerawat Batu

Pengobatan jerawat batu tergantung pada tingkat keparahan kondisi ini. Pengobatan dapat meliputi:

1. Obat-obatan topikal

Obat-obatan topikal, seperti asam salisilat, benzoil peroksida, dan retinoid, dapat membantu mengurangi peradangan dan membunuh bakteri penyebab jerawat.

2. Obat-obatan oral

Obat-obatan oral, seperti antibiotik, retinoid, dan kontrasepsi oral, dapat membantu mengobati jerawat batu yang parah.

3. Terapi laser

Terapi laser dapat membantu mengurangi peradangan dan membunuh bakteri penyebab jerawat.

4. Ekstraksi

Ekstraksi adalah prosedur untuk mengeluarkan nanah dan sebum dari jerawat batu.

5. Operasi

Operasi mungkin diperlukan untuk mengangkat kista dan nodul yang besar dan parah.

Pencegahan Jerawat Batu

Tidak ada cara yang pasti untuk mencegah jerawat batu, tetapi ada beberapa hal yang dapat Anda lakukan untuk mengurangi risiko mengembangkan kondisi ini, antara lain:

1. Menjaga kebersihan kulit

Cuci wajah Anda dua kali sehari dengan sabun pembersih yang lembut. Hindari menggosok kulit Anda terlalu keras.

2. Gunakan pelembab

Gunakan pelembab yang ringan dan bebas minyak untuk menjaga kulit Anda tetap lembab.

3. Hindari menyentuh wajah Anda

Menyentuh wajah Anda dapat menyebarkan bakteri dan memperburuk jerawat.

4. Pilih makanan yang sehat

Makan makanan yang sehat dan seimbang dapat membantu menjaga kulit Anda tetap sehat. Hindari makanan yang tinggi gula dan lemak.

5. Kelola stres

Stres dapat memperburuk jerawat. Temukan cara untuk mengelola stres, seperti berolahraga, mendengarkan musik, atau menghabiskan waktu bersama teman dan keluarga.

Kesimpulan

Jerawat batu adalah kondisi kulit yang serius yang dapat menyebabkan jaringan parut permanen. Namun, ada berbagai perawatan yang tersedia untuk membantu mengatasi kondisi ini. Jika Anda memiliki jerawat batu, bicarakan dengan dokter Anda tentang pilihan pengobatan yang tepat untuk Anda.

FAQs:

1. Apa perbedaan antara jerawat batu dan jenis jerawat lainnya?

Jerawat batu adalah jenis jerawat yang paling parah dan sulit diobati. Jerawat ini ditandai dengan benjolan besar, merah, dan nyeri yang dapat muncul di wajah, punggung, dada, atau bahu. Jerawat batu dapat menyebabkan jaringan parut permanen jika tidak diobati dengan benar.

2. Apa yang menyebabkan jerawat batu?

Jerawat batu disebabkan oleh berbagai faktor, termasuk perubahan hormon, genetika, stres, makanan, dan obat-obatan.

3. Apa saja gejala jerawat batu?

Gejala jerawat batu meliputi benjolan besar, merah, dan nyeri di wajah, punggung, dada, atau bahu; kulit berminyak; komedo hitam atau putih; kulit kemerahan atau bengkak; dan gatal atau nyeri.

4. Bagaimana cara mengobati jerawat batu?

Pengobatan jerawat batu tergantung pada tingkat keparahan kondisi ini. Pengobatan dapat meliputi obat-obatan topikal, obat-obatan oral, terapi laser, ekstraksi, dan operasi.

5. Bagaimana cara mencegah jerawat batu?

Tidak ada cara yang pasti untuk mencegah jerawat batu, tetapi ada beberapa hal yang dapat Anda lakukan untuk mengurangi risiko mengembangkan kondisi ini, seperti menjaga kebersihan kulit, menggunakan pelembab, menghindari menyentuh wajah Anda, memilih makanan yang sehat, dan mengelola stres.

Video Jerawat Batu Cara Mengatasinya